MCW Cardiac MRI Atlas
Department of Radiology, Division of Cardiothoracic Imaging
Medical College of Wisconsin


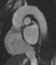
2 Chamber View

3 Chamber View

4 Chamber View

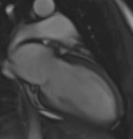
LVOT View

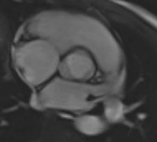
Short Axis Series

Axial Series

Aortic Root Series


Aortic Arch Series
(c) 2023 Douglas Pierce MD, MS

Acknowledgements: Cary Squires MD, Christopher Bennett MD,
Stephane Desouches DO, and Antonio Sosa Lozano MD