Aortic Root Series:
Sinuses of Valsalva
Home
Cardiac Labels
Hide Labels
Move Cranial
Move Caudal
2 Chamber View
3 Chamber View
4 Chamber View
LVOT View
Short Axis Series
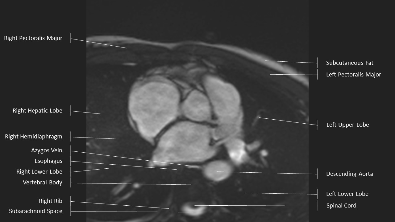
Axial Series
Aortic Root Series
Aortic Arch Series