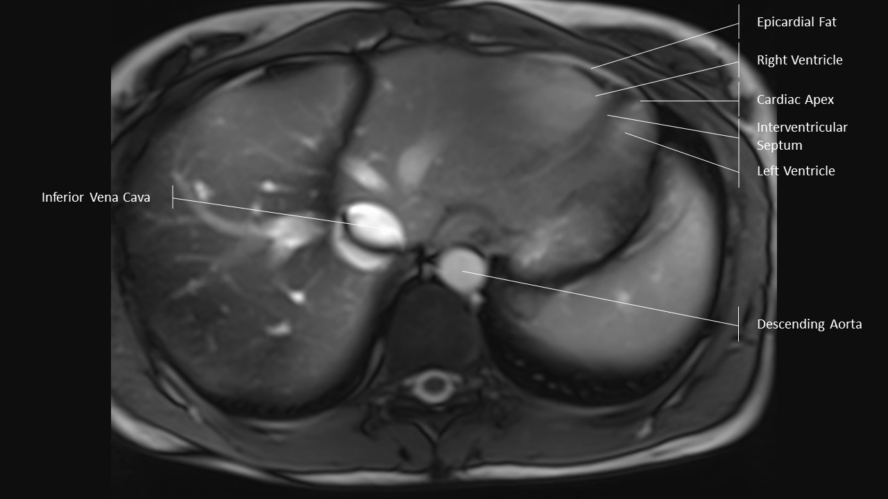
Axial Series
Home
Hide Labels
Extracardiac Labels
Move Superior
2 Chamber View
3 Chamber View
4 Chamber View
LVOT View
Short Axis Series
Axial Series
Aortic Root Series
Aortic Arch Series