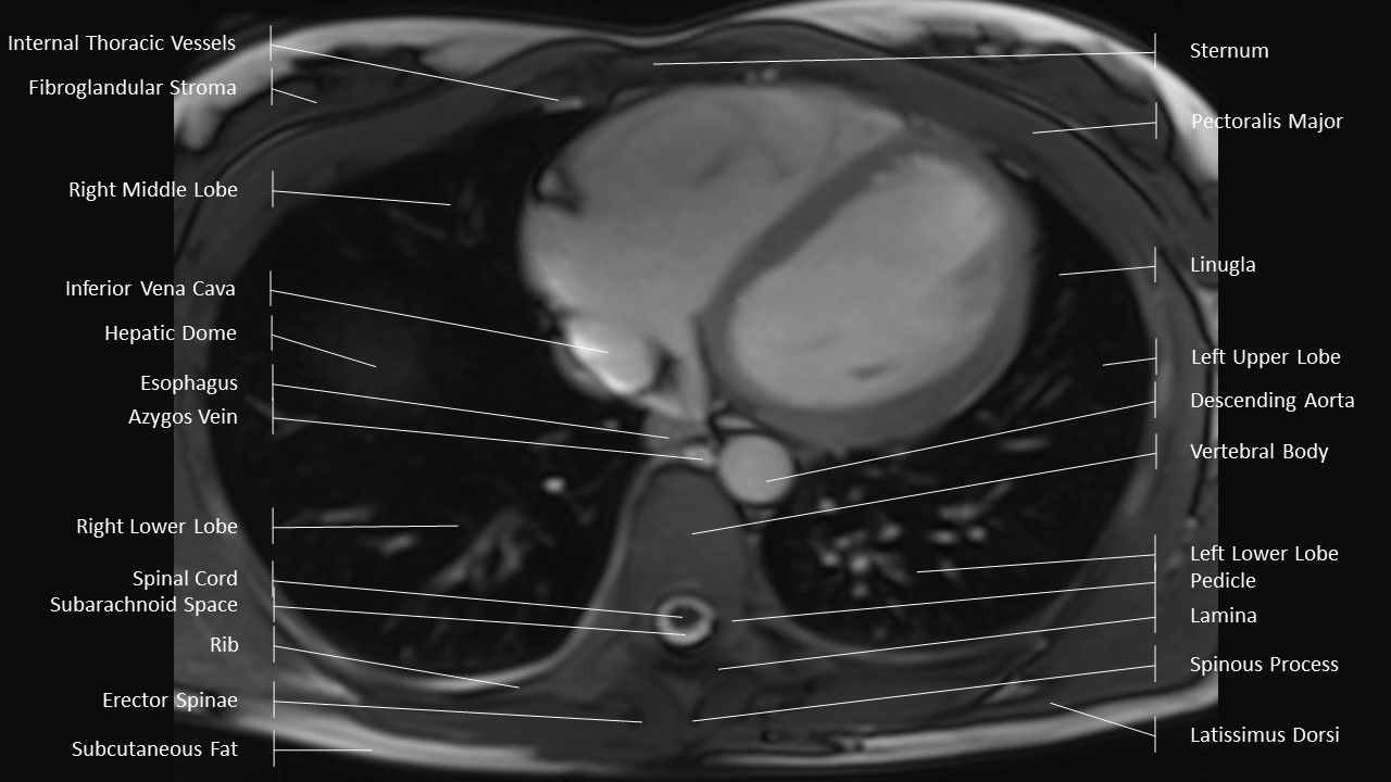
Axial Series