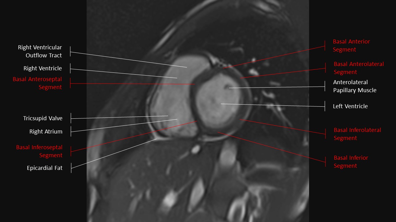
Short Axis Series