Aortic Root Series:
Aortic Valve in Diastole
Home
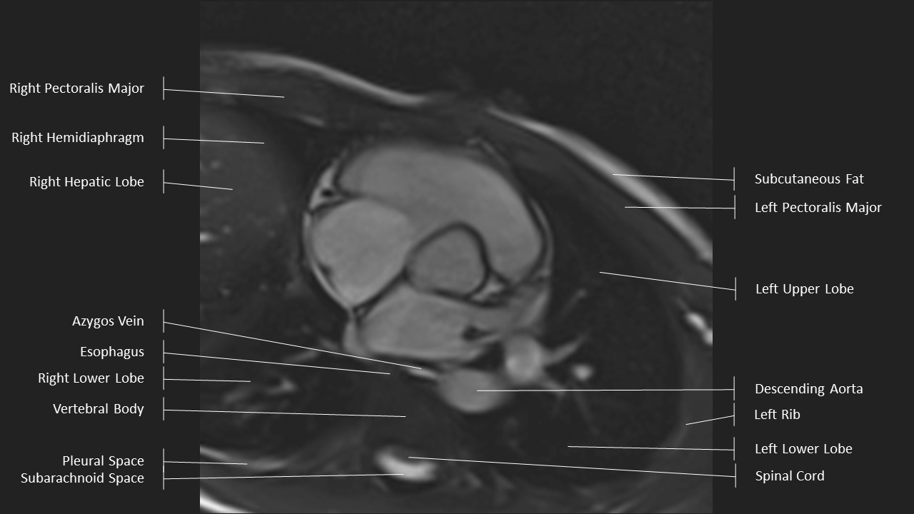
Cardiac Labels
Hide Labels
Move Cranial
Systolic View
2 Chamber View
3 Chamber View
4 Chamber View
LVOT View
Short Axis Series
Axial Series
Aortic Root Series
Aortic Arch Series